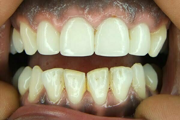
Case 1 – Smile design using six e.max veneers to correct overcrowding, Natural style design.



Case 2 – Smile makeover using 10 e.max veneers to correct severe discoloration, Hollywood smile design.



Case 3 – Smile design using e.max veneers to close spaces, bleached shade BL1, Natural style



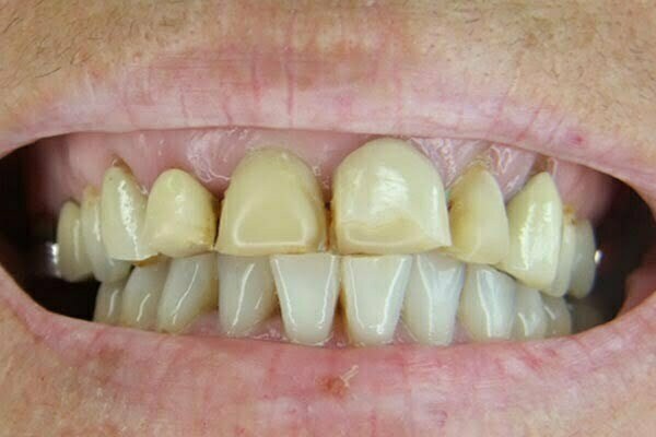
Case 4 – Four e.max crowns designed to give an individual look.



Case 5 – Smile makeover using e.max, Lumineer style no preparation veneers.



Case 6 – Smile design to reduce prominent teeth and even up gum lengths using e.max veneers.



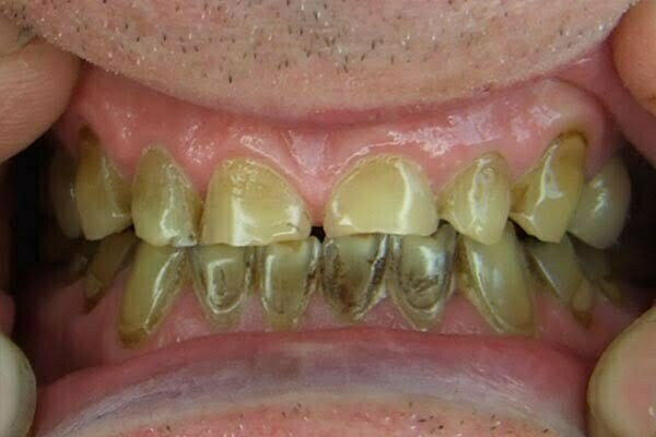
Case 7 – Eight e.max veneers replacing old veneer work, rejuvenating this patient’s smile.



Case 8 – A full smile makeover with upper and lower e.max veneers covering heavily stained teeth.



Case 9 – Smile design replacing old veneers with ten new e.max veneers in shade B1.



Case 10 – A full mouth smile design with twenty eight e.max crowns.



Case 11 – Sixteen upper and lower e.max veneers complete this smile makeover.



Case 12 – Eight e.max veneers restore this patient’s smile.



Case 13 – Smile line restoration using six e.max veneers.



Case 14 – A smile makeover using e.max crowns and veneers giving the patient a new smile line.



